Дівчинка пів року постійно кашляла та задихалась. Її лікували від бронхіту, але стан дитини не покращувався. В результаті після обстеження лікарі Охматдиту вилучили 4-сантиметрову ложечку з дихальних шляхів пацієнтки.
Передає Інформатор з посиланням на публікацію Охматдиту в Телеграм-каналі.
Як розповіли лікарі, 6-річна Яна ще в березні почала скаржитися на важке дихання та сильний кашель. Тоді батьки дівчинки звернулися до лікарні, де їй поставили діагноз – обструктивний бронхіт. Проте попри старанне лікування, стан дитини не покращувався. Тому Яну направили на дообстеження в Охматдит.
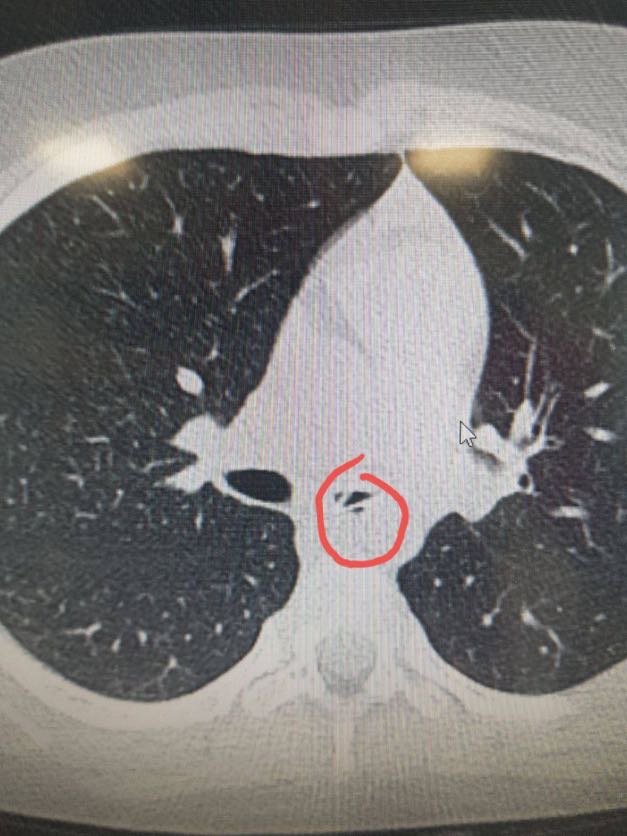
При обстеженні в НДСЛ «Охматдит» лікарі виявили стороннє тіло в дихальних шляхах Яни. Як виявилось потім, це була пластикова ложечка 4 сантиметри завдовжки.🥄
«Нетиповим було розміщення ложечки в лівому бронху. Адже майже завжди сторонні предмети потрапляють у правий бік. Також здивувало те, що дівчинці 6 років, - зазвичай подібні випадки трапляються з дітками віком до 3 років», – розповідає Сергій Руденко, завідувач педіатричного відділення Охматдиту.
Після успішного видалення ложечки спеціалістами лікарні, стан Яни покращився та все обійшлося без серйозних ускладнень.
Як підкреслили в Охматдиті, проблема потрапляння сторонніх тіл в організми дітей є дуже поширеною. Часто різні предмети знаходять у гортані, трахеї чи бронхах пацієнта. Зазвичай це супроводжується сильним кашлем, появою задишки, посинінням губ, інколи зупинкою дихання та втратою свідомості. А сторонніми тілами дихальних шляхів можуть бути найрізноманітніші предмети, навіть маленький шматочок горіха та лусочка насіння.




Стежити за новинами б’юті-індустрії та медицини можна за тегом — Краса та здоров’я.
Більше новин в нашому Telegram-каналі. Якщо ви стали свідком надзвичайної ситуації чи аварії, виявили небезпечний предмет, бездиханне тіло, помітили вогонь чи підпал, повідомте про це 101, 102 та 103, а також напишіть у нашому Telegram-чаті. Приєднатися до нього можна ТУТ.
Соломія Новосільська